Schedule an
Appointment
Sage Dental
Pocatello Dentists
Call
(208) 233-6912
Text
(208) 696-1904
Email (
sagedental@qwestoffice.net
)
Home
About Us
Services
Cosmetic Dentistry
Dentures
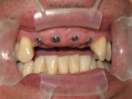
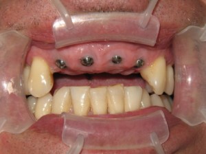
Extractions and Implant Restoration
Pediatric Dentistry
Preventative Care and Cleanings
Root Canal Therapy
Same Day Crowns
TMD Therapy / Grinding
Invisalign
Patient Forms
My Dental Score
Meet Us
Testimonials
Patient Reviews
Video Testimonials
Community
Financing
sage-dental-before-2